开春“打野”
挖野菜春笋
成了不少人的“春季限定”户外活动
然而,有人却因此进了医院
浙江的王大伯
近期突然出现反复咯血的症状
他赶到当地医院检查
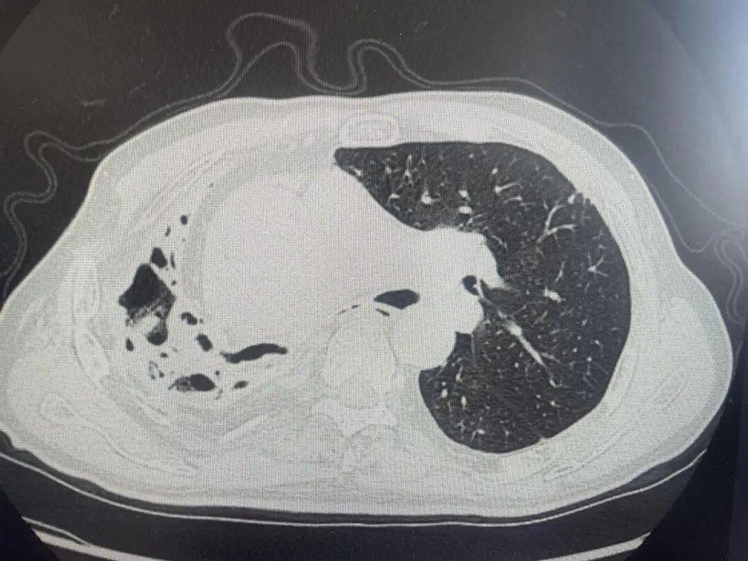
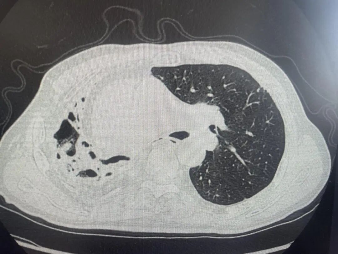
肺部CT结果显示
他的右肺已严重毁损
呈现出典型的蜂窝状改变
肺功能受损严重

▲肺部CT提示王大伯右肺毁损、蜂窝状改变
最终检测结果显示
王大伯感染了马尔尼菲蓝状菌
这是一种致死风险较高的深部致病真菌

马尔尼菲蓝状菌(曾用名:马尔尼菲青霉菌)是一种广泛存在于自然环境中的条件致病性真菌,在我国南方及东南亚地区尤为常见,竹鼠是其主要天然宿主,银星竹鼠带菌率高达96%。
这种真菌的孢子,就潜藏在竹林土壤、腐烂枯枝落叶中,一旦被人体吸入,便会在肺部定植、繁殖并引发致命的深部真菌感染。
初期症状多为咳嗽、胸痛、发热、呼吸困难等,与肺炎、肺结核、肺脓肿极其相似,影像学也无典型特征,极易误诊、漏诊,延误最佳治疗时机。
医生结合流行病学调查与王大伯的生活轨迹,找出了感染源头。原来王大伯近期频繁进山挖笋,在劳作过程中吸入了混杂在尘土、枯叶中的真菌孢子,从而引发严重肺部感染,好在接受规范抗真菌治疗后,王大伯的病情已趋于稳定。
每年春笋上市,大批村民进山挖笋、从事山林作业,导致真菌暴露风险大幅上升。
福建医科大学孟超肝胆医院(福建医科大学吴孟超纪念医院)呼吸内科副主任医师林秀华介绍,过去,医学界认为这种病主要感染免疫力严重低下的人群,特别是HIV感染患者。此外,老年人、有慢性疾病的患者、长期服用激素等药物的人群也是高风险人群。但这个病例提醒我们,即使是免疫功能正常的人,如果有特定的环境接触史,同样可能“中招”。
如果有人在竹林附近居住或工作,接触过竹鼠等野生动物,或在流行地区居住或旅行,就属于这种疾病的高危人群。
除了马尔尼菲蓝状菌外,土壤也是微生物的“天然温床”,曲霉菌、隐球菌、毛霉菌等多种致病真菌都会在此滋生。它们在湿润、疏松的表层土壤、枯枝落叶堆积处浓度最高,山林劳作时若防护不当,极易被人吸入体内。
预防马尔尼菲篮状菌感染,最重要的是减少高危环境的暴露。如果必须到竹林等环境中活动,建议佩戴防护口罩,避免直接接触野生动物,注意个人卫生,勤洗手。平时要保持良好的生活习惯,均衡饮食,适量运动,增强自身免疫力。
当出现持续2周以上不愈的咳嗽、咳痰、咽痛,特别是伴有发热、胸痛、气促等症状时,应该立即到正规医院就诊。就医时,一定要详细告诉医生您的症状、发病时间,以及是否有竹林接触史、动物接触史等重要信息。这些看似不起眼的细节,往往是医生诊断的重要线索。
马尔尼菲篮状菌病诊断具有一定难度,但是,完全可以治愈!林秀华说,目前临床上有多种有效的抗真菌药物,如两性霉素B、伊曲康唑、伏立康唑等。

治疗的关键在于“三早”:早发现、早诊断、早治疗。一旦确诊,患者需要在医生指导下规范用药,不能随意停药或减量。大多数患者经过正规治疗后都能获得良好的效果。
春季尝鲜正当时
但广大市民切记安全第一
莫让尝鲜变“尝险”
快转发给家人
请输入验证码