什么是高度近视?

图库版权图片,转载使用可能引发版权纠纷
高度近视的并发症
到底有哪些危害?
1
豹纹状眼底
2
视网膜脉络膜萎缩


3
视网膜变性、裂孔及视网膜脱离


4
黄斑劈裂、黄斑裂孔



5
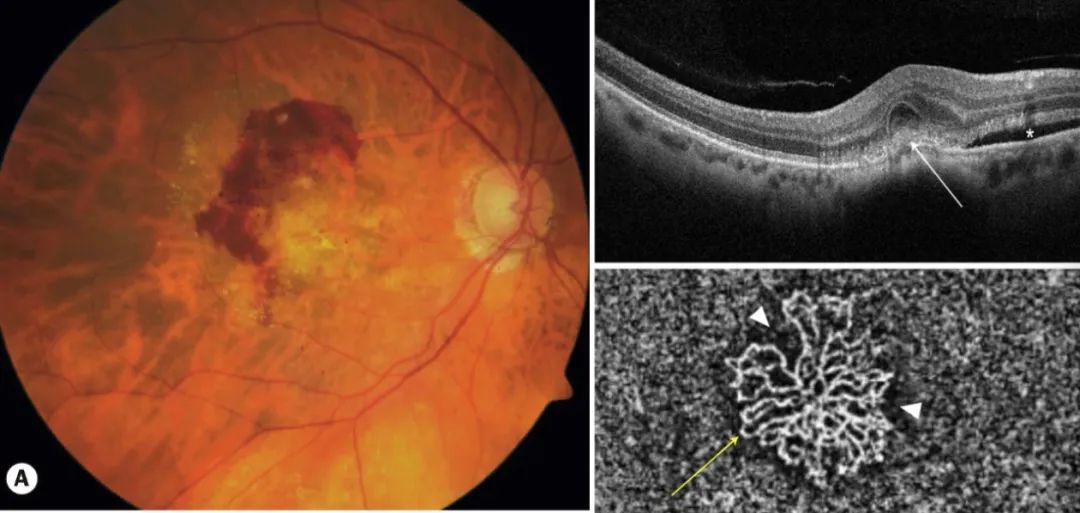
近视相关脉络膜新生血管

6
白内障

7
开角型青光眼
8
玻璃体混浊

高度近视的人群
一定要做好这件事!
参考文献
什么是高度近视?

图库版权图片,转载使用可能引发版权纠纷
高度近视的并发症
到底有哪些危害?
1
豹纹状眼底
2
视网膜脉络膜萎缩


3
视网膜变性、裂孔及视网膜脱离


4
黄斑劈裂、黄斑裂孔



5
近视相关脉络膜新生血管

6
白内障

7
开角型青光眼
8
玻璃体混浊

高度近视的人群
一定要做好这件事!
参考文献
请输入验证码