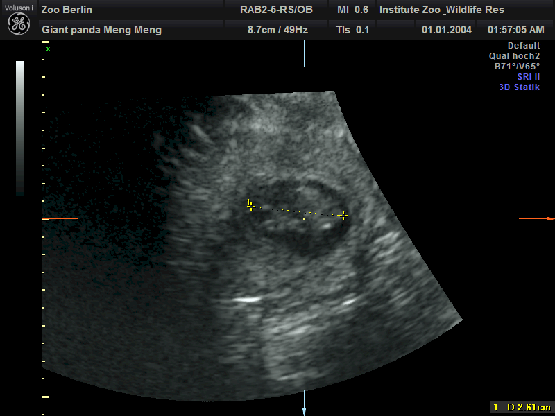
当地时间13日,德国柏林动物园在官网发布公告称,旅居柏林的中国大熊猫“梦梦”确认再次怀上双胞胎,超声检测到两个胎儿心跳。

资料图:大熊猫“梦梦”。中新社记者 彭大伟 摄
公告表示,园区在11日的超声检测中确认了这一喜讯。目前两个大熊猫胎儿身长都约为2.5厘米。

图片来源:央视新闻客户端
柏林动物园园长安德烈亚斯·克尼里姆表示,据胚胎大小推测,如果一切顺利,“梦梦”预计将在8月底分娩。与5年前一样,动物园已经为分娩工作做好充分准备。中国专家也已赶到柏林,为后续工作提供支持。
公告称,雌性大熊猫每年大约仅有72个小时的受孕期。经过密集观察和精心准备后,今年4月国际专家团队对“梦梦”实施了人工授精。
“梦梦”和雄性大熊猫“娇庆”于2017年6月从中国成都抵达柏林动物园,开始了为期15年的旅居生活。2019年8月31日,“梦梦”成功诞下一对雄性双胞胎,分别取名“梦想”和“梦圆”,这是德国首次迎来大熊猫诞生。去年12月,这对双胞胎兄弟返回中国。

资料图:大熊猫双胞胎“梦想”和“梦圆”。中新社发 柏林动物园 供图
请输入验证码