近日湖南长沙一名小伙没想到因使用防晒喷雾不当竟给自己带来了不小的麻烦!
使用防晒喷雾时误吸20岁小伙竟检查出“白肺”据新湖南客户端报道,日前,20岁的长沙小伙李林(化名)在外出前使用了防晒喷雾,在对着面部喷洒时一不小心误吸,随即出现胸闷、咳嗽的症状。症状一直持续到第二天仍未好转,他急忙来到湖南省长沙市第三医院就诊。
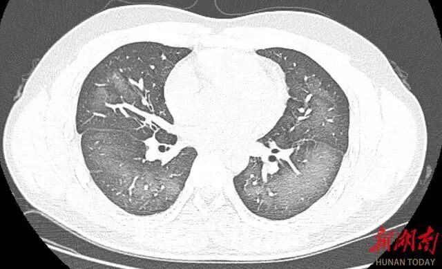
经检查,肺部CT片显示,李林双肺赫然呈现大范围白色样病变,报告提示“白肺”。
什么是“白肺”?
“白肺”一般是指重症肺炎在X线或CT检查下的表现,患者肺部呈现一大片的白色状态,往往会出现呼吸困难、呼吸衰竭,严重者还会出现其他脏器功能障碍。
“白肺”常见于高龄(65岁以上)、免疫力低下、有重要器官慢性病史(如心脏病、中风史、慢性肾脏病、慢性阻塞性肺疾病等)、有多种疾病并存(比如既有高血压、糖尿病,又有心脏病、肺病、肾功能不全)等人群。

只是喷个防晒喷雾肺部为何会受损?长沙市第三医院放射影像科的接诊医师表示,除了感染、弥漫性肺泡出血综合征等“白肺”最常见的病因外,吸入有害物质如粉尘、喷雾等,也可导致肺部出现大范围白色样病变。这名年轻的患者就是因为使用不当,吸入了一部分防晒产品进入肺部,导致“白肺”的发生。
急诊医生给予吸氧、化痰、抗感染等相关治疗后,患者症状得到明显改善。
防晒喷雾应该如何使用才正确?
这样用才安全
选用温和无刺激、适合自己肤质的产品。如果对酒精不耐受,不要选用含有酒精的防晒喷雾。
因个人肤质不同,首次使用前可以把少量防晒喷雾涂抹在耳后、肘关节内侧等部位进行皮试,保持24~72小时,确定无不适反应以后再进行使用。
使用防晒喷雾时主要喷洒在身体部位,使用时与皮肤至少保持15~20厘米的距离。使用于面部和颈部时,请先喷洒在手上,然后用手均匀涂抹。若不慎入眼,要立即用水清洗;如有不适要暂停使用。
不要在肌肤伤口、红肿或湿疹等有异常的部位使用防晒喷雾。
不要在同一个身体部位近距离(如10厘米内)连续喷射超过3秒,防晒喷雾中的推进剂喷出后会迅速挥发吸热,长时间或者近距离使用可能会冻伤皮肤。
不要在卫生间、车内等狭小密闭不通风空间内使用,喷洒时要注意通风,使用时紧闭口鼻,勿刻意吸气,避免吸入喷雾。
应放在儿童接触不到的地方,儿童应在成人监护下使用防晒喷雾。建议给儿童选择配方温和、标识有儿童化妆品标志“小金盾”的防晒产品。
防晒喷雾中通常含有易燃物质,请存放在阴凉干燥通风环境中,避免阳光直晒。使用时应远离火源、热源、静电,不得撞击产品,不得将产品或使用完的空罐刺穿或投入火中。
提醒爱美的你在使用防晒产品后
若出现过敏或其他身体不适时应立即停止使用并及时前往医院就诊大家在夏季会使用什么样的防晒方法?欢迎在评论区留言!
请输入验证码